Studi : Hidung Beringus dan Sakit Tenggorokan, Anda Mungkin Terinfeksi Covid-19 Kesehatan - 08 Dec 2021, 11:45
Dianggap Tak Berbahaya, Bentuk Benjolan Ditubuh Bisa Jadi Ciri Gejala Awal Kanker Tahukah Anda - 31 Oct 2021, 21:43
Inilah Beberapa Tanda Dan Gejala Penyakit Jantung Yang Tidak Pernah Dipikirkan Orang Kesehatan - 12 Oct 2021, 08:35
Akhirnya Rahasia Covid-19 Terpecahkan, Ilmuwan Ungkap Penyebab Orang yang Terinfeksi Corona Tapi Tak Bergejala Kesehatan - 04 Oct 2021, 14:06
Tak Hanya Demam dan Hilang Indera Perasa, Dokter di Jepang Melacak Gejala Lain Dari Covid-19 Kesehatan - 04 Oct 2021, 13:45
Hasil Studi Menunjukkan Jika Pasien Covid-19 Lama Dapat Mengalami Masalah THT yang Berkelanjutan, Ini Alasannya... Kesehatan - 29 Sep 2021, 13:10
5 Gejala Gagal Jantung yang Tidak Boleh Disepelekan Jika Ingin Panjang Umur Kesehatan - 24 Sep 2021, 10:40
Tak Perlu Panik, Ini Langkah Awal yang Harus Dilakukan Jika Terkena Covid Menurut dr. Tirta Nasional - 28 Jul 2021, 14:12
Catat! Ini Beda Gejala Covid-19 pada Orang yang Sudah Divaksinasi dan yang Belum Nasional - 27 Jul 2021, 09:23
Mulai Menyebar ke Luar Pulau Jawa, Simak Perbedaan Gejala Covid-19 Varian Delta dengan Umum Nasional - 15 Jul 2021, 09:47
Pasien COVID-19 Dengan Kekebalan Tubuh Beresiko Terkena Pendarahan Dubur dan Sakit Perut yang Fatal Kesehatan - 09 Jul 2021, 14:50
Sering Disepelekan, 7 Gejala Leukemia Ini Harus Kamu Kenali dan Waspadai Kesehatan - 24 Jun 2021, 08:54
Hati-Hati! Jika Ada 10 Gejala Ini, Mungkin Pertanda Awal Anda Menderita Kanker Kesehatan - 26 Apr 2021, 14:16
Gejala Gelombang Kedua COVID-19: Selain Demam Atau Flu, Waspadai Tanda-Tanda Ini... Kesehatan - 12 Apr 2021, 10:32
Studi Mengungkapkan Jika 1 Dari 10 Orang Menderita Efek Jangka Panjang Hingga 8 Bulan Akibat COVID-19 Kesehatan - 11 Apr 2021, 10:49
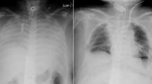
Kisah Pria Yang Rajin Olahraga, Tapi Terinfeksi Virus Covid-19 Dua Kali, Begini Kondisinya Sekarang Riau - 23 Mar 2021, 13:01
Hati-Hati! 87 Persen Wanita Tidak Menyadari Jika Risiko Penyakit Jantung Meningkat Selama Fase Perimenopause Kesehatan - 21 Mar 2021, 04:17
Dokter Temukan Gejala Paling Parah Pasien Terpapar Covid-19, Jari Tangan Menghitam, Terpaksa Diamputasi Kesehatan - 13 Feb 2021, 12:29
Empat Gejala Covid-19 yang Tidak Biasa yang Terjadi Pada Pasien Usia Lanjut Kesehatan - 06 Feb 2021, 09:56