Pria di Lebanon Kena Infeksi Penis Langka, Diduga gegara Keracunan Makanan Kesehatan - 30 Aug 2024, 19:59
Kasusnya Sedang Tinggi di Brasil, Riset Mengungkapkan Penyebab Kanker Penis yang Sering Diabaikan Para Pria Kesehatan - 21 Jun 2024, 10:21
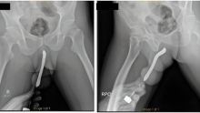
Nasib Bocah Alami Penis Putus usai Disunat Kepala Puskesmas, Begini Kondisinya Kesehatan - 14 Jun 2024, 13:17
Diduga Selingkuh dengan Wanita Lain, Cewek Peru ini Nekat Amputasi Penis Pasangannya saat Tidur Kesehatan - 19 Feb 2024, 15:34
Kasus Langka Pria Tewas usai Mr P Menghitam Kena Infeksi Akibat Pakai Kateter Tahukah Anda - 30 Dec 2023, 19:54
Bermimpi Sedang Memotong Daging Untuk Makan Malam, Pria Ini Tidak Sengaja Memotong Alat Kelaminnya Internasional - 23 Aug 2022, 08:22
Mengenal Tanaman Penis di Kamboja yang Hampir Punah dan Tak Ditemukan di Tempat Lain Tahukah Anda - 25 May 2022, 08:49
Bukan Amerika atau Arab, Ternyata Inilah Negara dengan Penis Terbesar di Dunia Tahukah Anda - 19 Apr 2022, 14:21
Ada-ada Saja, Penis Pria Ini Berubah Warna dan Mengeluarkan Bau Busuk setelah Disuntikkan Kokain Kesehatan - 01 Apr 2022, 13:32
Pertama Setelah 25 Tahun, Tanaman Penis Asal Indonesia Mekar di Belanda, Penggemar Langsung Geger Internasional - 31 Oct 2021, 15:01
Tanaman Langka Menyerupai Alat Kelamin Pria Mekar Untuk Pertama Kali Dalam 25 Tahun di Belanda Internasional - 29 Oct 2021, 09:20
Jangan Berkendara di Bawah Pengaruh Alkohol Jika Tak Mau Seperti Pria Ini! Kehilangan Penis dan Buah Zakarnya Internasional - 13 Oct 2021, 09:50
Ingin Mengukur Panjang Alat Kelaminnya, Remaja Asal Inggris Ini Nekat Memasukkan Kabel USB, Ini yang Terjadi Selanjutnya... Kesehatan - 22 Sep 2021, 10:50
Ingin Mengukur Panjang Penisnya, Remaja ini Masukkan Kabel USB ke Alat Kelamin Hingga Tersangkut Internasional - 19 Sep 2021, 19:52
Cara Mengatasi Pasangan Gencet Dengan Mudah, Seperti yang Diajarkan Medis Kesehatan - 08 Sep 2021, 20:51
Bosan, Pria Thailand Ini Masukkan Alat Vitalnya ke Dalam Gembok, Hal Mengerikan Ini yang Terjadi Selanjutnya... Internasional - 14 Aug 2021, 11:09
Tahukah Kamu Meskipun Disebut "Ular Penis", Caecilian Sebenarnya Bukanlah Ular? Tahukah Anda - 31 Jul 2021, 10:13
Pria Ini Membuat Sejarah Dalam Dunia Medis, Setelah Penisnya Patah Secara Vertikal Saat Berhubungan Seks Internasional - 03 Jul 2021, 09:30
Wanita Pelayan Bar Ini Potong 'Burung' Majikannya Karena Tak Tahan Terus Dilecehkan Internasional - 02 Jun 2021, 08:58