Teknologi Melahap Manusia? Robot ‘Hancurkan’ Pria Sampai Mati di Korea Selatan Internasional - 09 Nov 2023, 12:31
12 Orang Termasuk Bayi Tewas dalam Kecelakaan Pesawat di Amazon Brasil Internasional - 30 Oct 2023, 08:08
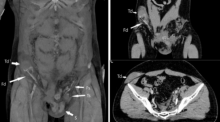
Begini Kronologi Pria Alami Testis Masuk Perut akibat Kecelakaan Tragis Kesehatan - 14 Oct 2023, 20:10
Lebih Dari 20 Orang Tewas Setelah Bus Wisata Jatuh di Jembatan Layang Venesia Internasional - 04 Oct 2023, 19:33
Setidaknya 9 Orang Tewas Dalam Peristiwa Runtuhnya Tambang Emas Zimbabwe Internasional - 01 Oct 2023, 12:43
Penjaga Pantai Italia Selamatkan Lebih Dari 170 Orang di Atas Kapal Feri yang Terbakar Internasional - 01 Oct 2023, 12:21
Australia: 1 Tewas dan 1 Lagi Terluka Setelah Paus Menabrak dan Membalikkan Perahu Ekpedisi Internasional - 30 Sep 2023, 19:09
Pelajar Dikabupaten Bengkalis Tewas Setelah Alami Kecelakaan Lalulintas Bengkalis - 26 Sep 2023, 15:04
Kecelakaan Bus Afrika Selatan Menewaskan Sedikitnya 20 Staf Tambang Internasional - 18 Sep 2023, 17:12
Hasil Komite Investigasi Rusia: Prigozhin Tewas dalam Kecelakaan Pesawat Internasional - 27 Aug 2023, 19:17
Ketidakpastian Kematian Kepala Wagner Berlanjut, Rusia Akan Melakukan Tes Genetik Pada Sisa-sisa Kecelakaan Internasional - 26 Aug 2023, 09:10
Ngeri! Truk Tangki Air Tabrak Pesta Karnaval 17-an di Mojokerto, 3 orang Tewas Nasional - 25 Aug 2023, 11:01
Priogozhin Bos Wagner Diduga tewas dalam kecelakaan Pesawat di Rusia Internasional - 24 Aug 2023, 09:13
Sedih! Pesan Terakhir Korban Pesawat Jatuh di Malaysia ke Sang Kakak: Aku Akan Pulang Internasional - 19 Aug 2023, 10:48
Korban Tewas Kecelakaan Kereta Tergelincir di Pakistan Jadi 28 Orang Internasional - 07 Aug 2023, 10:08
Setidaknya 24 Tewas Dalam Kecelakaan Lalu Lintas Saat Minibus Terbalik di Maroko Internasional - 07 Aug 2023, 05:23
15 Orang Tewas dan Beberapa Hilang Setelah Feri Tenggelam di Lepas Pantai Pulau Sulawesi Nasional - 24 Jul 2023, 13:41
Takut Bakal Meninggal Dunia, Marc Marquez Disarankan Agar Pensiun dari MotoGP Sport - 17 Jul 2023, 10:41
Banyak Jalan Berlobang, Antisipasi Kecelakaan Polsek Siak Kecil Pasang Rambu di Jalan Lintas Bengkalis - 13 Jul 2023, 13:50
Kurangi Angka Kecelakaan, Ketahui Pentingnya Fungsi Minyak Rem Pada Motor Otomotif - 11 Jul 2023, 16:29